千葉 歯医者
症例集
※治療費用は治療した当時の金額です
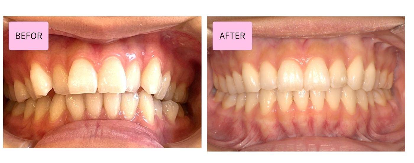
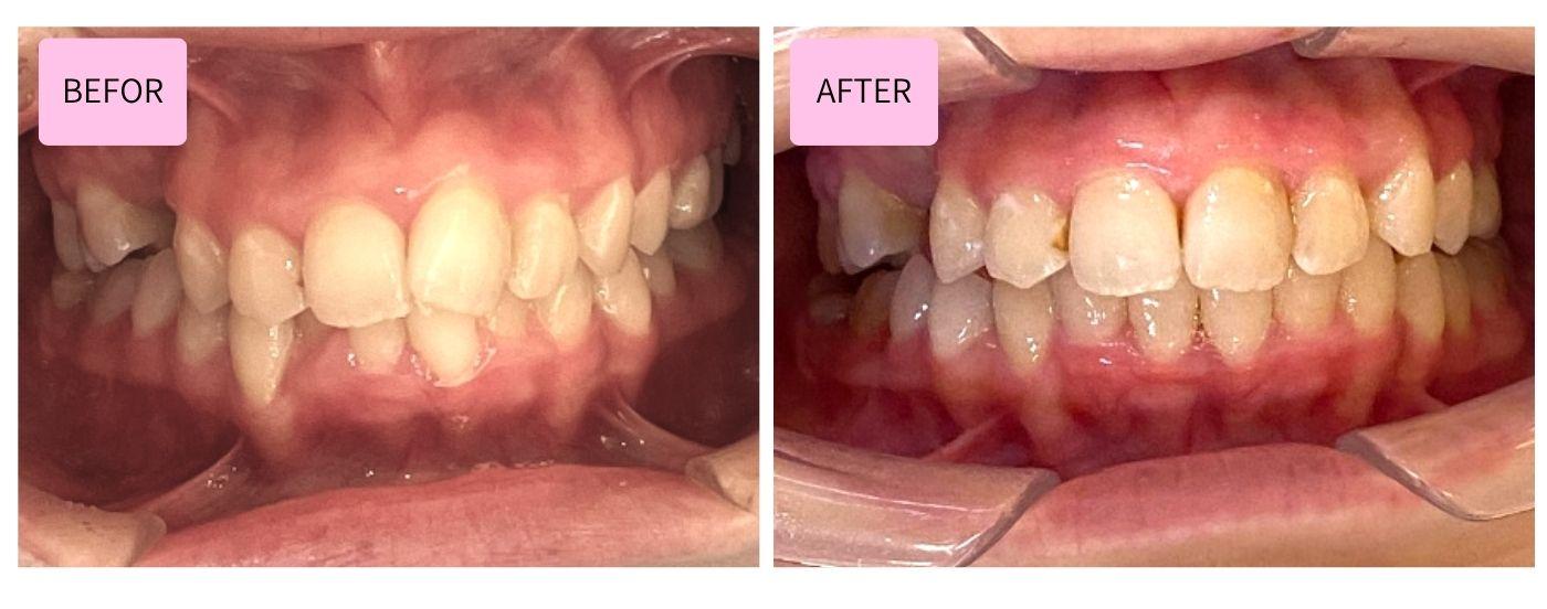
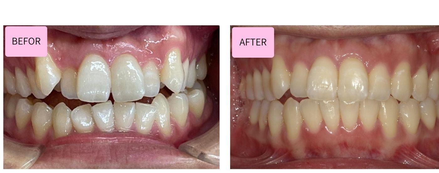
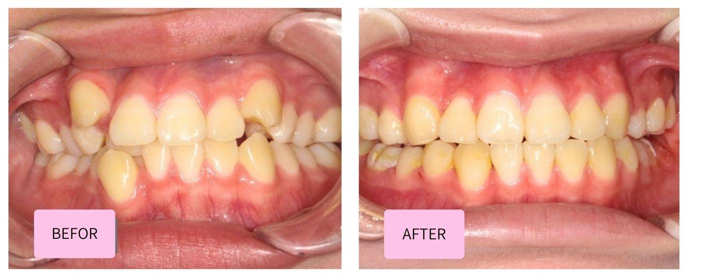
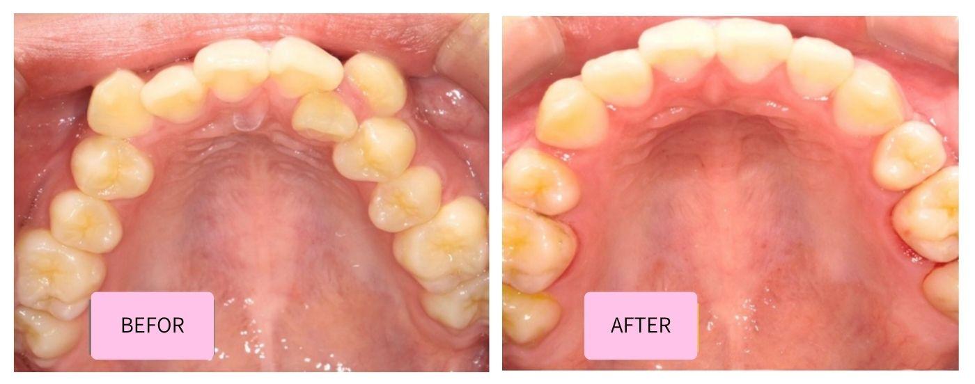
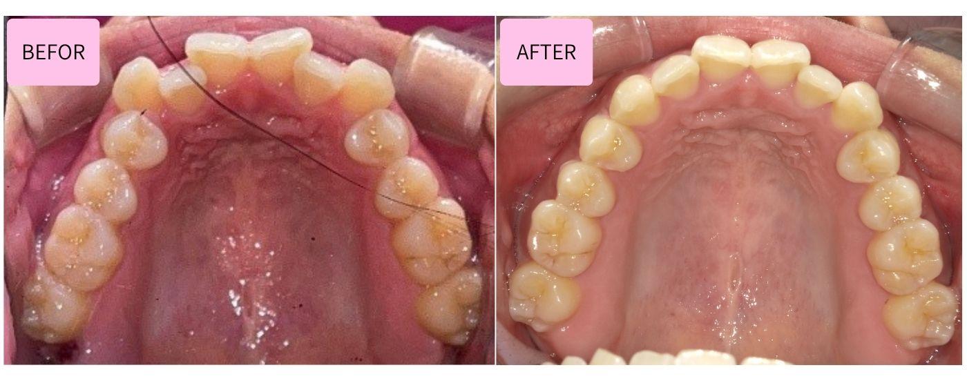
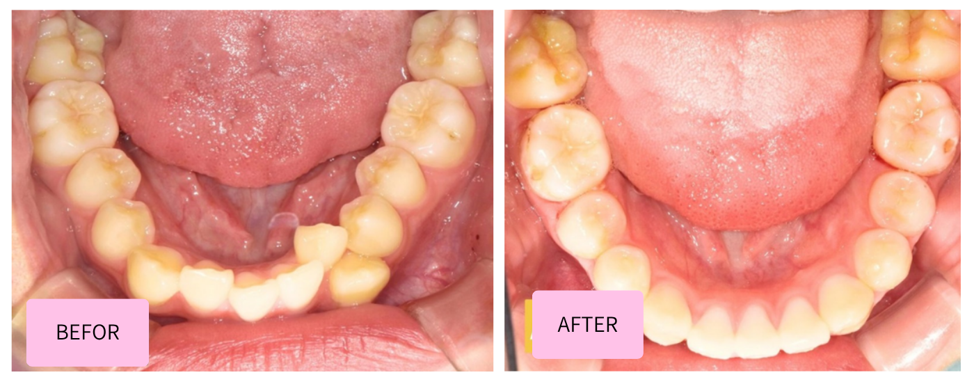
歯並び矯正
17歳 女性
13歳 男性
34歳 男性
19歳 女性
25歳 女性
15歳 女性
9歳 女性
19歳 女性
9歳 男性
7歳 女性
7歳 女性
8歳 女性
8歳 女性
7歳 男性
11歳 女性
6歳 女性
13歳 男性
47歳 女性
31歳 女性
28歳 男性
24歳 女性
26歳 女性
23歳 女性
27歳 女性
26歳 女性
28歳 女性
24歳 女性
38歳 女性
25歳 女性
歯並び矯正について
さらに詳しく知りたい方はこちら→
インプラント
64歳 男性
56歳 女性
62歳 女性
61歳 女性
73歳 男性
インプラントについて
さらに詳しく知りたい方はこちら→
セラミック矯正
40歳 男性
43歳 女性
48歳 男性
61歳 女性
55歳 女性
54歳 女性
セラミック矯正について
さらに詳しく知りたい方はこちら→